
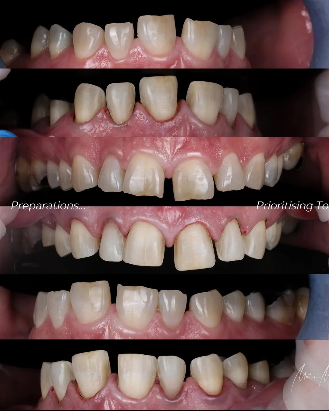
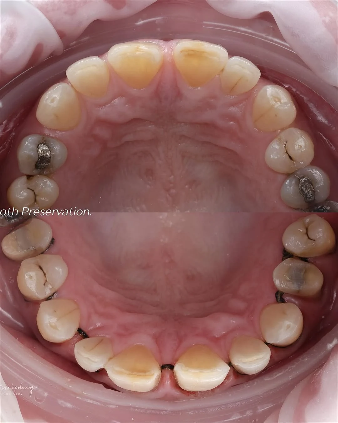
Case 1
When ‘simple’ isn’t simple.
Minimally-prepped porcelain veneers · ceramics by Bilal Denno
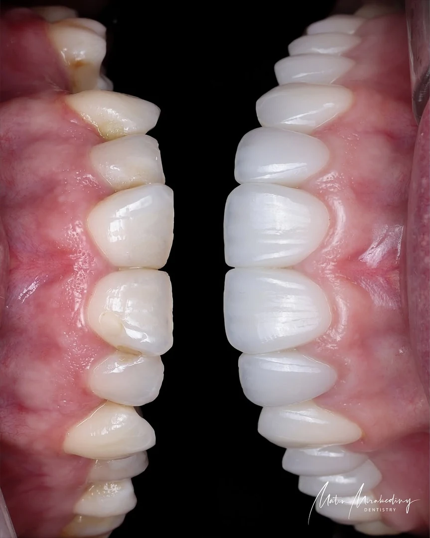
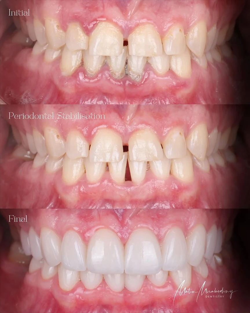
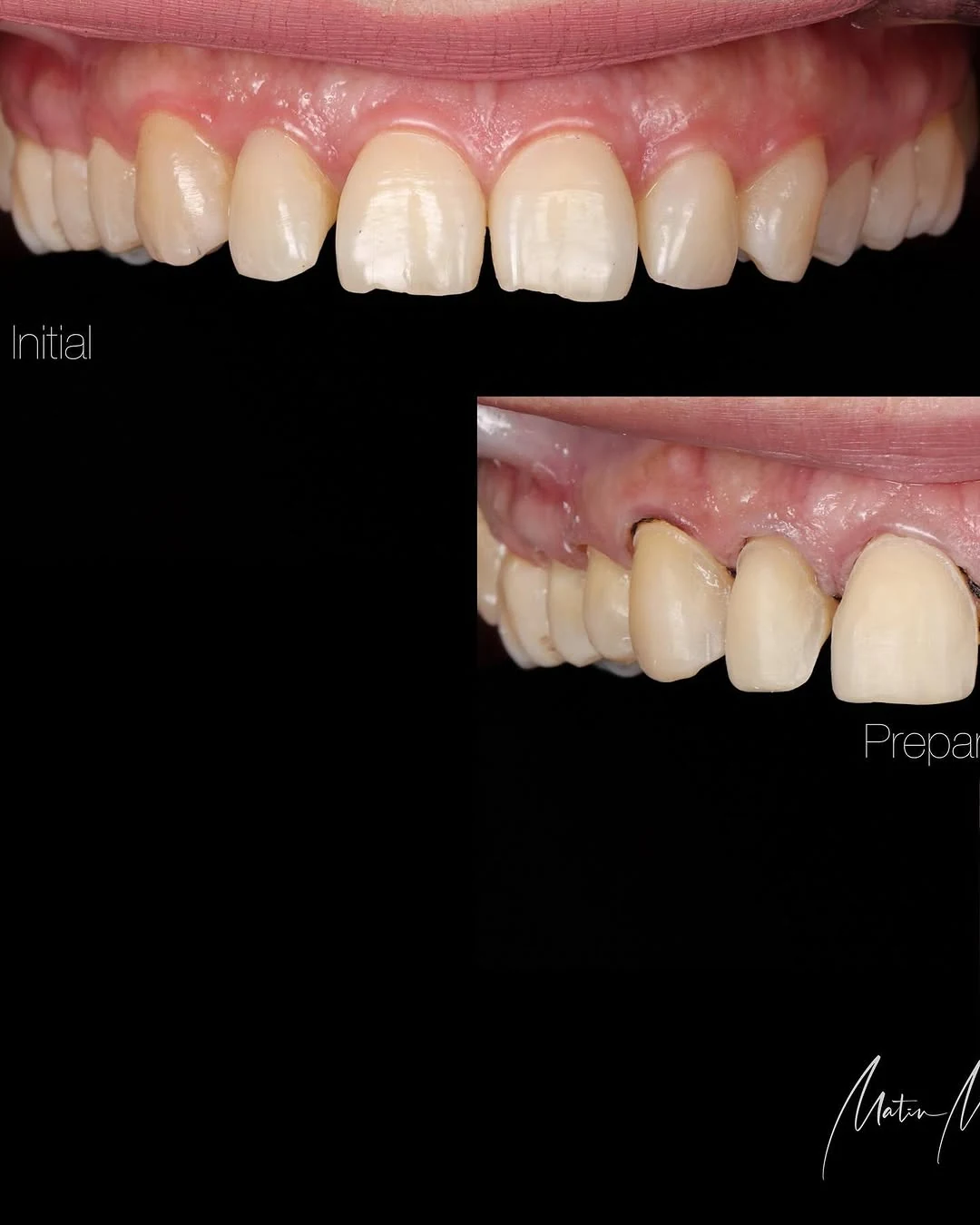
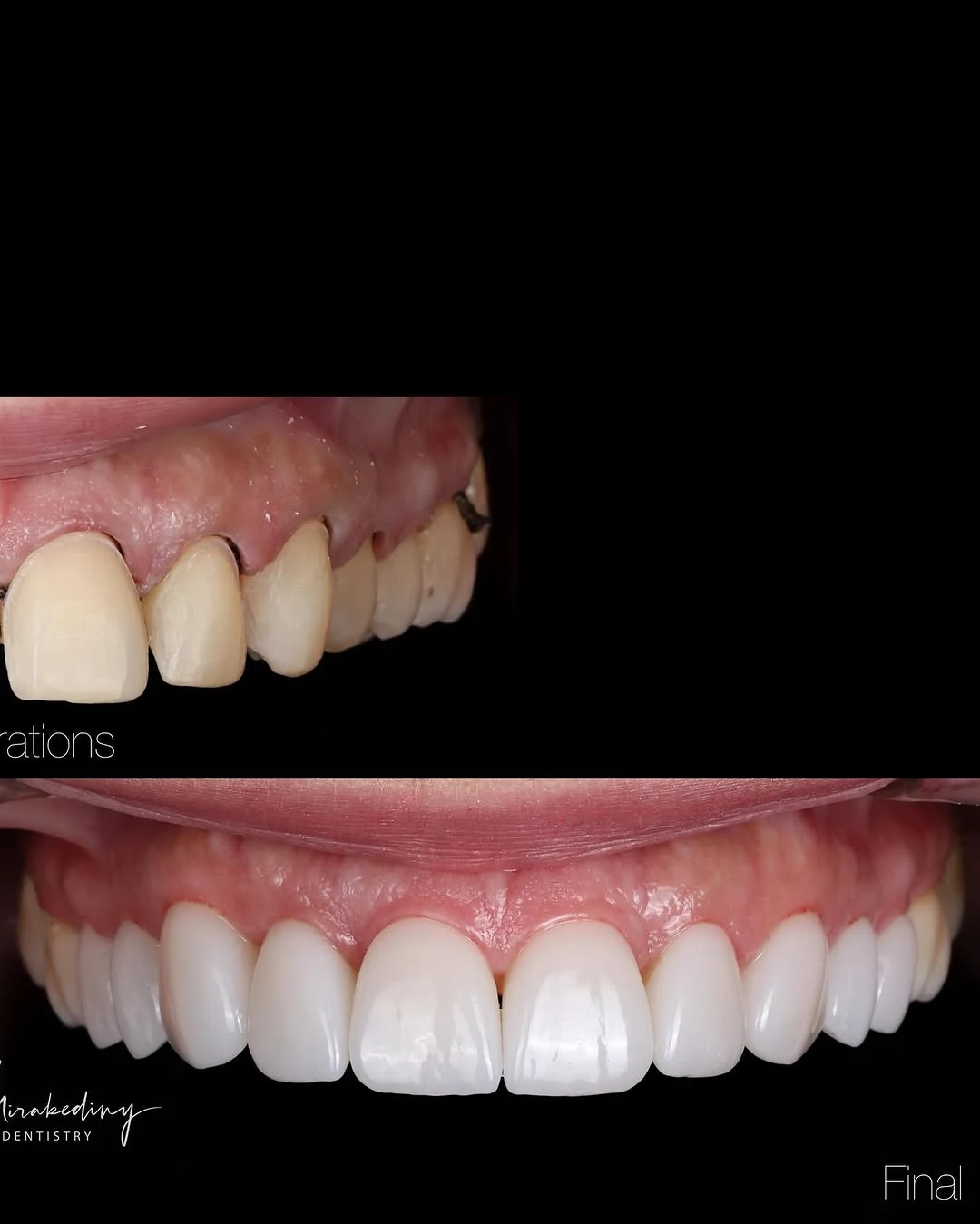
Most cases that walk in looking simple turn out to need the most planning. This patient wanted a noticeable change but worried about it looking obvious. We talked through the shape of her teeth, how they sat in her smile, what she didn’t like — and just as important, what she did. From there we mapped out a set of minimally-prepped porcelain veneers: enough preparation to bond well, no more than necessary. Layered ceramics by Bilal Denno gave the surface natural depth and the kind of shade that catches light differently from different angles, the way real enamel does. The photos here were taken a week after fitting; the gum line settles further over the following months. But you can already see how the new shape sits comfortably with the rest of her face — confident, but unmistakably hers.


























